Our office was designed and constructed from the ground up, with all new equipment and the latest in dental technologies.
Everything from our weekends and evening hours to the free high-speed wireless internet access in our waiting area was designed to fit your busy lifestyle. We regularly incorporate innovative ideas and new creative solutions to make your patient visits more professional, more pleasant and more personal.
Your In-Office Experience
Every one of our patient rooms comes standard with state-of-the-art dental tools selected for their ability to enhance your comfort, your consultation, and your safety. Each room offers a host of comforts, including ceiling-mounted satellite TVs and remotes, so you can even catch some news or watch your favorite basketball team play during your visit. Our patient chairs are top-of-the-line and brand new, offering perhaps the most comfortable dental reclining you'll find anywhere.
During your consultation, the crisp LCD panels are designed to be able to switch between what's on TV and any digital information in our computer systems. Dr. Dokko can instantly and wirelessly pull up your dental images or educational and instructional photos and videos while you remain seated. You don't need to wait until afterward to review imagery.
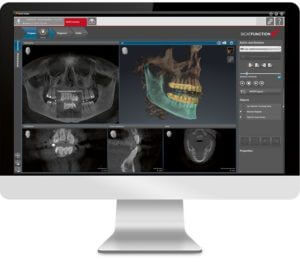
Digital Information

Using 3D x-rays, we are able to get extremely detailed pictures of your bone, teeth, and jaws. This advanced technology also provides an increased level of diagnostic accuracy when it’s most important, such as while planning for implants and surgical procedures. From positioning dental implants and other prosthetic-based planning to visualizing the real movement of the lower jaw, the 3D SICAT X-Ray technology opens a world of possibilities to our patients. With this advancement, Dr. Dokko can complete your diagnosis and discuss real-time planning for necessary dental treatment without leaving your side.
Whether you’re suffering from TMJ, or need a prosthetic procedure like a dental implant, this technology provides the most accurate 3D images for Dr. Dokko to use to diagnose and develop the best treatment program for you.
Root Canals and Dental Crowns in One Day

At Brighter Day Dental, we’ve invested in the latest rotary endodontic equipment, so that we can perform efficient and accurate root canals without referring our patients to a specialty practice. Plus, our in-house Sirona 3D x-rays allow us to plan out the treatment by assessing your root anatomy before treatment ever starts. There’s never been a more comfortable way to get a root canal.
Contact Us Today!
Our digital approach doesn’t stop with 3D x-ray technology! At Brighter Day Dental, we offer patients a comprehensive digital approach. During your appointment, you’ll notice that all Brighter Day Dental patient information is digital. This allows us to quickly communicate with insurance carriers and referring specialists to better serve our patients, and access your oral health history quickly and easily.
Brighter Day Dental is happy to offer fast pain relief and emergency dental care at our office in Concord. Because we’re open as late as 9:00 pm and on Saturdays, we’re equipped to handle your dental emergency in a convenient manner. Contact us today.

